MD1 MD Prep Phase 1 · page viewer
09 · SMB2 · Cellule, tissus & développement · 09.037 · TP histologie — os et cartilage · all pages

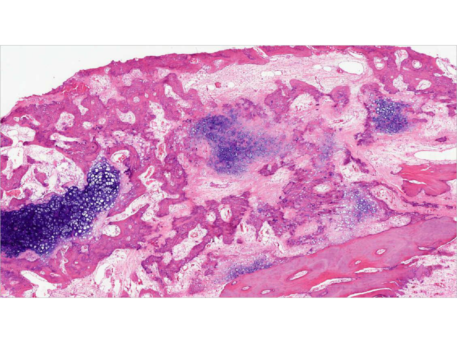
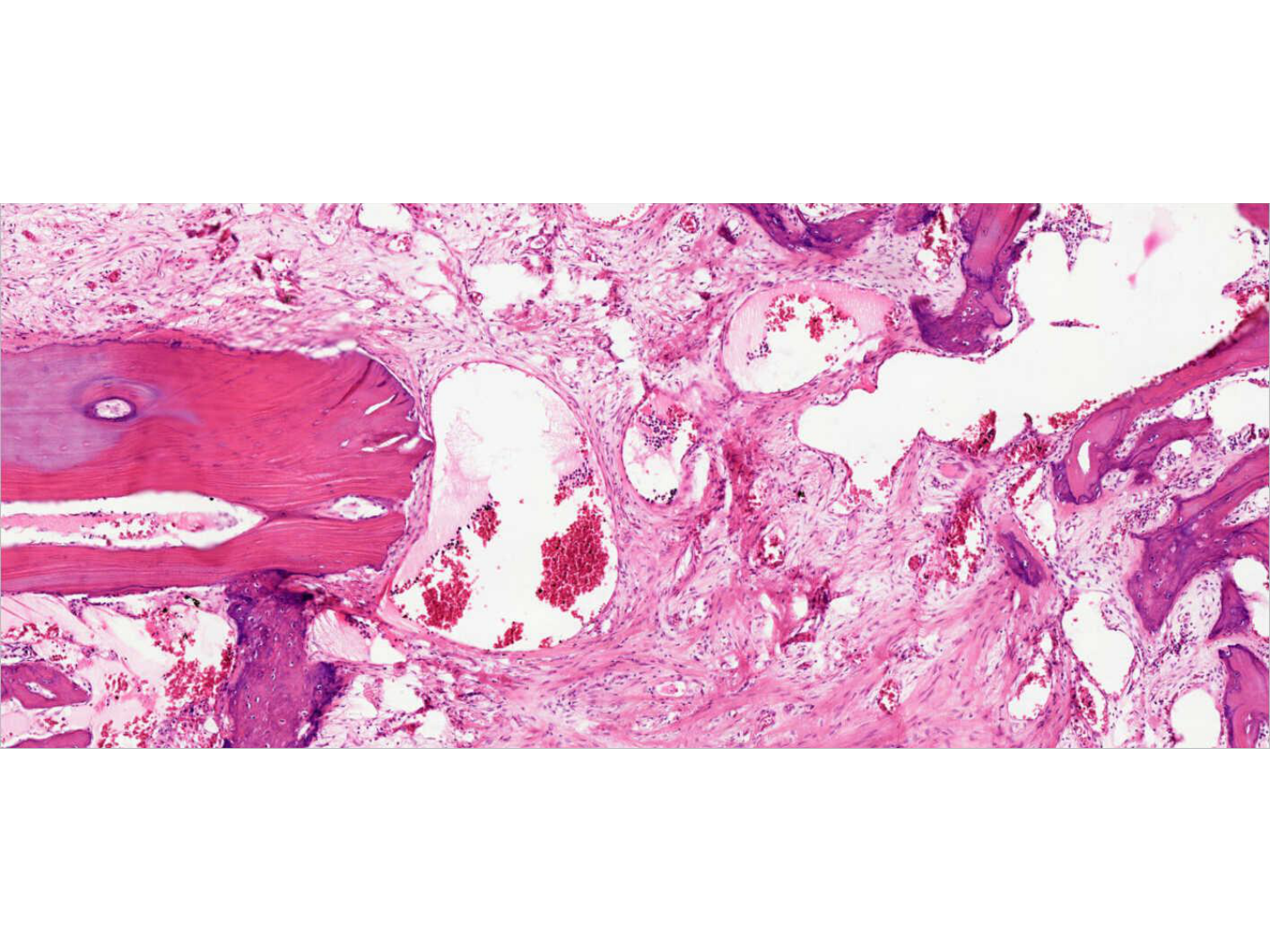
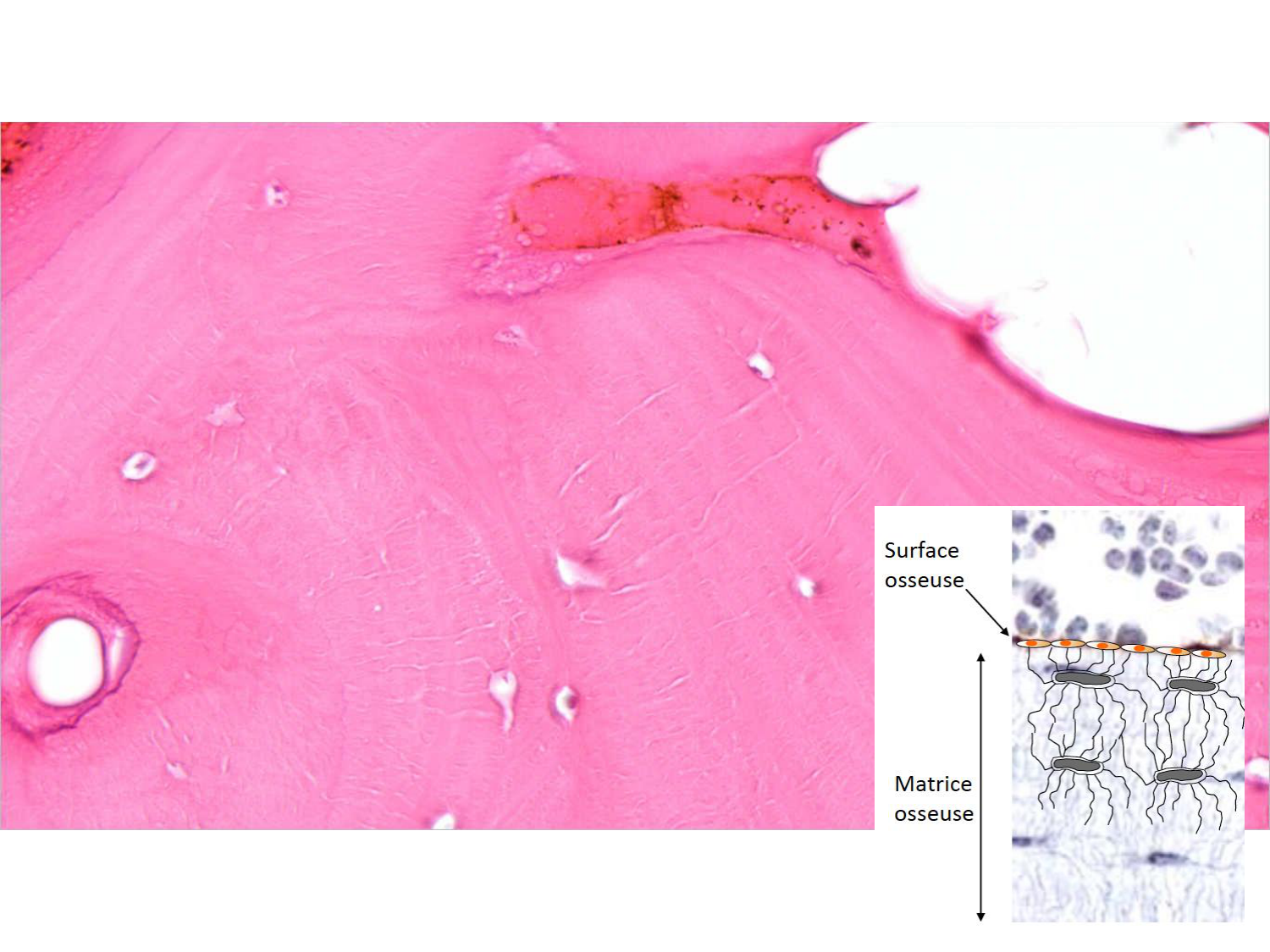
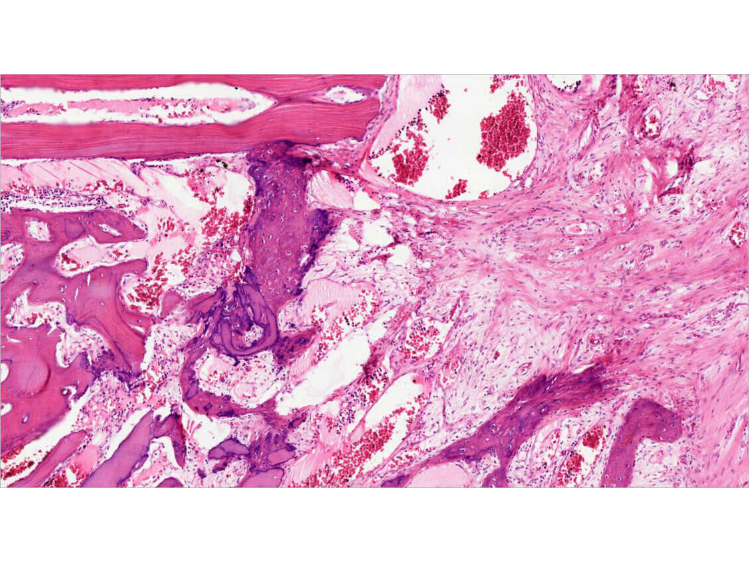
09.037 · TP histologie — os et cartilage

Histology practical — bone and cartilage

TP histologie · 46 pages · 6 sections

All pagesPage view

All pages overview. This static page is crawlable without JavaScript and exposes every page image directly.