MD1 MD Prep Phase 1 · page viewer
11 · SMB3 · Digestif, endocrino, repro, os & pharmaco · 11.35 · Abdomen gros intestin foie rate pancreas vascularisation · all pages

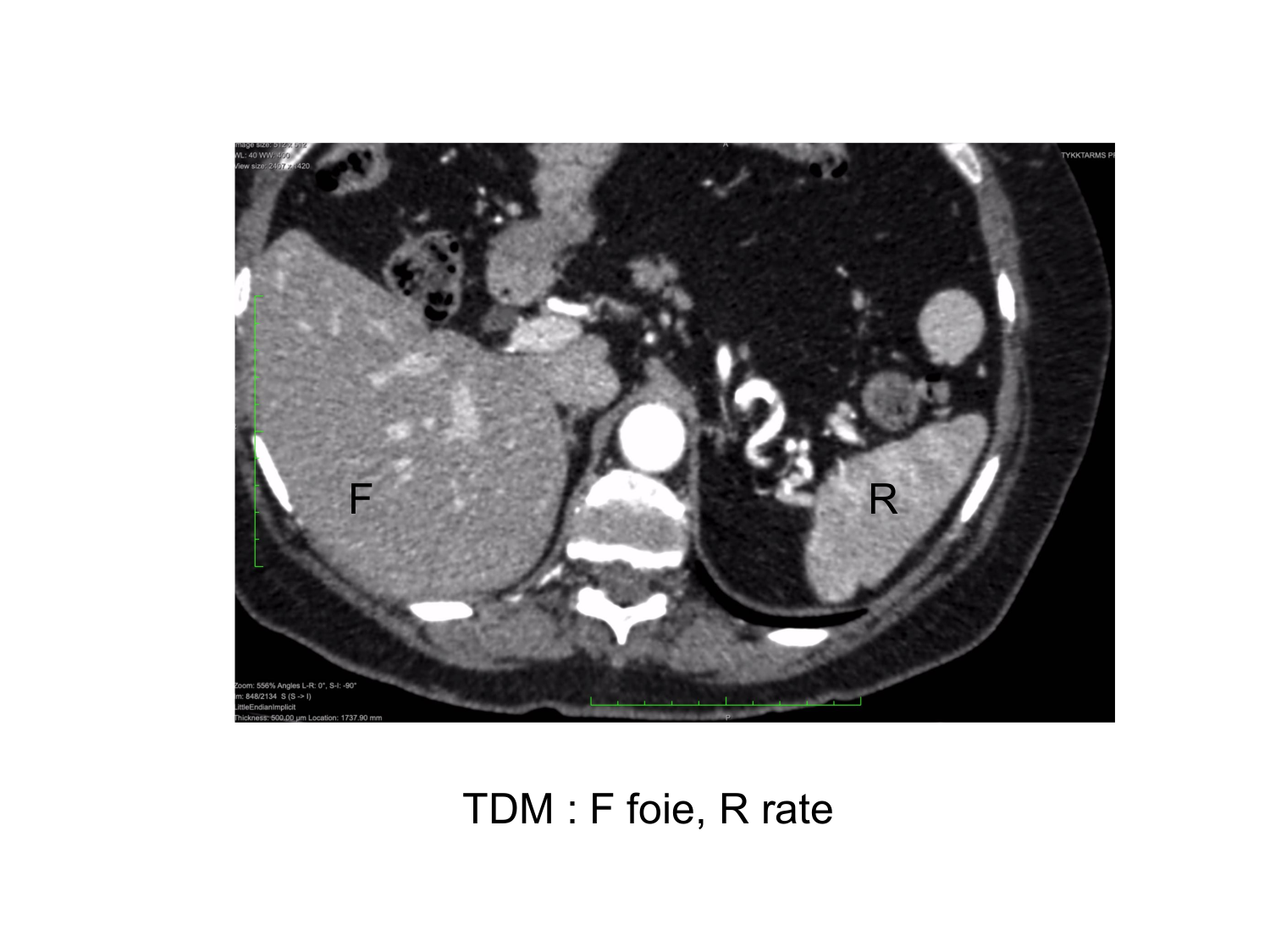
11.35 · Abdomen gros intestin foie rate pancreas vascularisation

Abdomen gros intestin foie rate pancreas vascularisation

Système endocrinien · 89 pages · 12 sections

All pagesPage view

All pages overview. This static page is crawlable without JavaScript and exposes every page image directly.